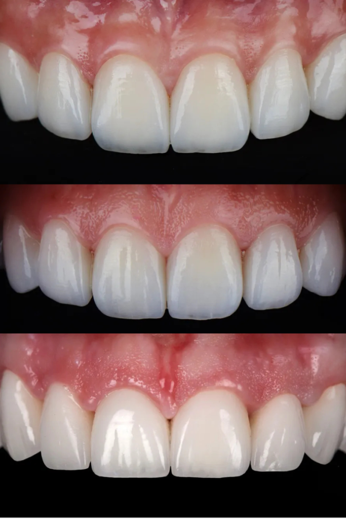
ティースデザイナーチェックリスト
審美歯の製作に用いられる専門チェックリストに、ティースデザイナーの経験と審美眼を反映。
その結果、細部にまでこだわったデザインや、お客さまの理想に応じた美しい口元へのデザインが可能になっています。
以下のチェックリストには、歯の形や色、スマイルライン、歯の角度や幅など
美しさと機能性の両立を実現するためのポイントが含まれています。
このチェックリストに沿ってひとつひとつ丁寧に確認し、オートクチュールの歯をデザイン、製作します。

① 歯の形
お好きな形や周囲の歯のバランスなどを確認しながら決めていきます。

② 左右の歯の幅
お好きな形や周囲の歯のバランスなどを確認しながら決めていきます。

③ 歯の軸
お好きな形や周囲の歯のバランスなどを確認しながら決めていきます。

④ 下部鼓形空隙
お好きな形や周囲の歯のバランスなどを確認しながら決めていきます。

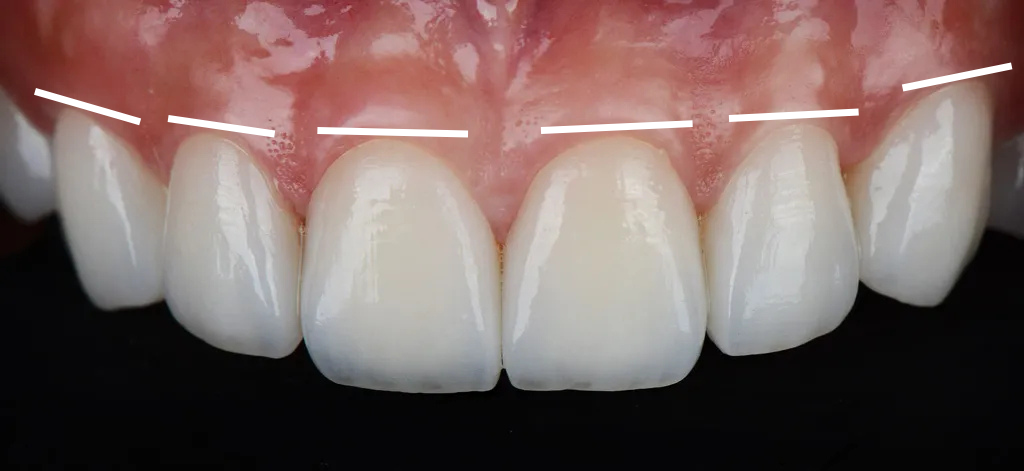
⑤ 歯茎ラインの位置
お好きな形や周囲の歯のバランスなどを確認しながら決めていきます。

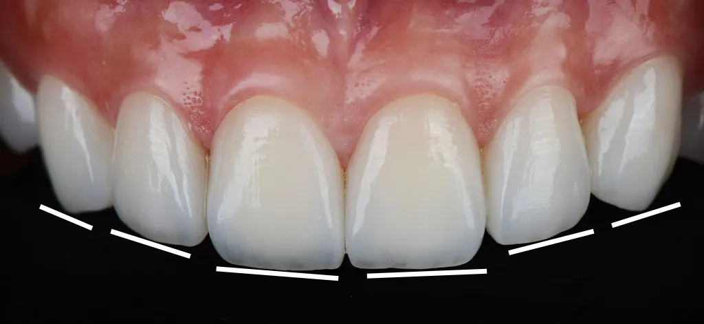
⑥ 切端ラインの位置
お好きな形や周囲の歯のバランスなどを確認しながら決めていきます。

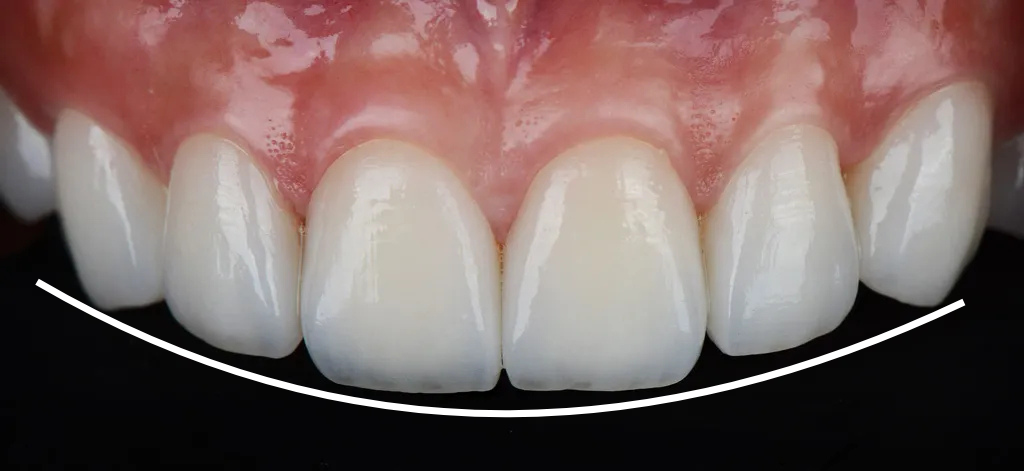
⑦ スマイルライン
お好きな形や周囲の歯のバランスなどを確認しながら決めていきます。

⑧ Eライン
お好きな形や周囲の歯のバランスなどを確認しながら決めていきます。

⑨ 艶
お好きな形や周囲の歯のバランスなどを確認しながら決めていきます。

⑩ 色
お好きな形や周囲の歯のバランスなどを確認しながら決めていきます。
